近日,潜江市中心医院肝胆外科成功为一名聋哑复杂肝恶性肿瘤患者实施高难度右半肝切除术。团队凭借精准诊疗攻克医学难关,以无声关怀温暖患者生命旅程,为特殊肿瘤患者的救治之路点亮希望之光。
58岁的患者,自幼聋哑,既无法用语言诉说病痛,也难以清晰传递身体的不适。直到身体出现明显异常,就医检查时,结果已令人揪心——他被确诊为肝恶性肿瘤,且肿瘤体积较大,残余肝脏体积不足,若直接手术切除,肝功能衰竭及术后并发症的风险极高,诊疗难度不言而喻。
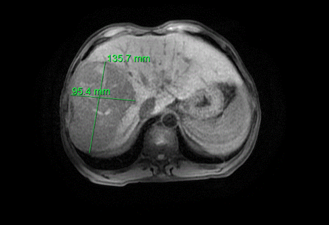
面对患者极其复杂的病情,科室第一时间启动多学科会诊机制,迅速集结介入科、肿瘤科、ICU等多领域专家,展开全面深入的会诊讨论。专家团队经过反复细致的研判,一致认为直接实施根治性切除术风险过高,决定先为患者开展转化治疗——即介入治疗联合靶向免疫治疗,力争通过这一方案缩小肿瘤,提升手术可切除性。在多学科团队的精准把控与协同配合下,转化治疗取得显著成效:患者的肿瘤明显缩小,身体状况逐步改善,经术前肝脏三维重建精准测量,其残余肝脏体积占标准肝体积的比例约为60%,已达到手术条件,右半肝切除术的方案就此正式敲定。

为保障手术安全、降低术后并发症风险、加速患者康复进程,本次手术将严格遵循ERAS(加速康复外科)理念,在围手术期落实多模式镇痛、优化液体管理、早期进食与活动等核心措施,对每一个环节都精益求精,为患者的康复全程保驾护航。

介入治疗前肿瘤大小

介入治疗后肿瘤大小
如果说精准诊疗是救治的核心,那么人文关怀便是跨越沟通障碍的桥梁。对于听不见、说不出的患者而言,沟通不畅既是医疗安全最大的“拦路虎”,也是护理工作的重点与难点。为了读懂患者的“无声诉求”,护理团队特意为他量身打造了专属的无声沟通体系:准备大号手写板,方便患者书写自身不适;制作印满日常需求的图文卡片,涵盖疼痛、口渴、伤口不适、想翻身等内容,每一项需求都配有清晰的图案与文字对应;此外,护理团队的护士们还主动学习简单手语,用鼓励与安慰化解他的无助,让无声的病房里始终充满温暖与力量。

在多学科团队的精准诊疗与精细化人文护理下,患者的右半肝切除术顺利完成,手术过程平稳有序。术后未出现出血、感染、肝功能衰竭等并发症,伤口愈合良好,肝功能逐步恢复,现已顺利康复出院。

恶性肿瘤的诊疗,从来不是单一的手术或药物治疗,而是精准医学与人文关怀的深度融合。对于合并沟通障碍、病情复杂的特殊患者,医疗团队更需摒弃固化思维,以精湛技术破解诊疗难题,以温暖关怀弥补沟通缺憾,真正做到“治病”更“治心”。潜江市中心医院肝胆外科相关负责人表示,将继续秉持“以患者为中心”的服务理念,不断精进医疗技术,厚植人文情怀,提供专业、细致、温暖的医疗服务,为每一位肿瘤患者撑起生命的希望,让更多的特殊患者在无声守护中重获健康与新生。(杨雪梅、董纪榕)