
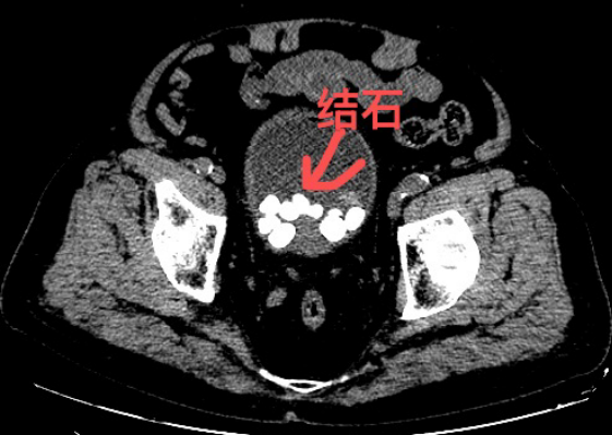
结石位置。通讯员供图
荆楚网(湖北日报网)讯(通讯员 余艳芹)年逾九旬,本该安享晚年,却被排尿难题困扰长达五年。近日,湖北省第三人民医院阳逻院区泌尿外科凭借精湛的微创技术,成功为一位91岁高龄患者实施膀胱碎石钳碎石取石术,精准解决前列腺增生合并膀胱结石的双重病痛,助老人顺利康复出院,重获舒适生活。
91岁的林爹爹(化姓)五年前出现尿频、尿急症状,且排尿困难日渐加重,日常起居备受煎熬。近期,病情突然加剧,伴随血尿症状,家人焦急万分,立即将其送至湖北省第三人民医院阳逻院区就诊。
经详细检查,确诊为前列腺增生、膀胱多发结石。长期的前列腺增生导致尿路梗阻,尿液排出不畅,进而诱发膀胱结石,双重病症叠加,不仅严重影响排尿功能,血尿症状更提示病情危急,若不及时治疗,可能引发感染、肾功能损伤等严重并发症。考虑到患者年事已高,对手术耐受度有限,泌尿外科团队高度重视,立即组织麻醉科会诊,全面评估老人各项身体指标,反复研讨手术方案,最终决定采用膀胱碎石钳碎石取石术。该术式无需开刀,经尿道进入膀胱,精准击碎结石并完整取出,具有创伤小、出血少、恢复快等优势。
3月5日,在麻醉科的密切配合下,泌尿外科副主任占必兴、医生张军凭借丰富的临床经验和娴熟的操作技巧,精准定位膀胱内结石,利用碎石钳高效钳碎结石,逐一将碎石残渣清理干净,同时妥善处理前列腺增生引发的尿路梗阻问题。手术过程平稳顺利,出血量少,仅耗时数十分钟便圆满完成。
术后,泌尿外科护理团队密切监测患者生命体征,悉心指导饮食、排尿等术后注意事项,预防感染、出血等并发症。在护士们的精心照料与家人的悉心陪伴下,林爹爹恢复情况远超预期,尿频、尿急、排尿困难症状明显缓解,血尿消失,精神状态日渐好转,各项指标均恢复正常,于3月11日顺利康复出院。
出院当日,林爹爹及家属对湖北省第三人民医院泌尿外科医护人员连连致谢:“多亏了你们的好技术、好服务,解决了我五年的老毛病,现在终于能舒服排尿了!”
前列腺增生是老年男性常见疾病,随着年龄增长发病率逐年升高,长期尿路梗阻易诱发膀胱结石、尿路感染、肾积水等并发症,严重危害老年患者健康。湖北省第三人民医院泌尿外科始终秉持“以患者为中心”的服务理念,深耕老年泌尿外科疾病诊疗领域,熟练开展各类微创碎石、前列腺增生治疗等手术,凭借精湛的技术、贴心的服务,为众多高龄、高危患者解除病痛,用专业与责任守护老年群体的泌尿健康,让高龄患者也能轻松就医、安心康复。