湖北日报全媒记者余瑾毅 通讯员张璟祎
12岁武汉新洲女孩可可(化名)脊柱侧弯90度,12块胸椎先天发育畸形……近日,随着最后一次矫形大手术的完成,在武汉儿童医院长达十年的积极救治下,这棵曾经被折叠的“小树苗”终于被扶正。

可可(化名)的世界曾发生严重倾斜。
脊椎“大楼”一片废墟
女童可可(化名)家住新洲,先天性椎体发育畸形。自出生起,她的脊柱就向左倾斜,整个身体异常扭曲。随着成长,弯曲日益加重。2岁时,可可脊柱倾斜度数已达到90度——上半身几乎被“折”成了直角。可可四处求医,可都因为畸形严重且复杂,矫形难度大,年龄小且治疗周期长,未来治疗存在不可预测性,迟迟没能得到有效救治。
经医生介绍,他们联系上了当时正在北京进修的武汉儿童医院骨科副主任医师周治国。为了给可可治病,周治国联系了当时北京儿童脊柱畸形的专家,大家针对可可的病情进行了认真评估。
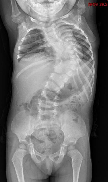
“如果把脊椎比作一栋大厦,她的第5胸椎到第3腰椎,一共11个脊椎就像11层楼,成了一片废墟:有的‘楼层’合并,有的被拆成两半,有的缺失‘墙体’,没有一处是正常的。”周治国这样形容。
当年,可可年仅2岁半,是生长发育的快速生长期,这样严重的结构畸形,导致胸腔空间的减少,直接压迫了孩子的脏器。手术必须得做,而且需要尽快,这不仅是为了“挺直”脊梁,更是为了“保命”。
9年“生长棒”脊柱矫形撑起生命空间
2015年,2岁半的可可在武汉儿童医院接受了一期手术。专家在可可的胸椎和腰椎上植入了4根生长棒和8枚椎弓根钉当“支架”,尽可能多地给扭曲的脊柱以支撑,延缓脊柱侧弯的进展,同时为胸腔和内脏争取生长空间。
之后9年,可可每年都会到武汉儿童医院骨科接受一次调整手术。周治国团队根据可可生长和矫正的情况,对生长棒进行延长和调整,一点点矫正扭曲的脊柱,更重要的是为胸腔、胸廓留出足够的生长空间慢慢生长。
时间一天天过去,可可一点点长大,在医生的控制下,她脊柱侧弯度数从90度降至72度,这也为终末期矫形手术争取到了机会。
截骨手术从72度降至30度
2025年,可可年满12岁,胸腔、胸廓已基本发育成熟。周治国团队决定是时候对最严重的顶椎“动手”了。医生利用3D打印技术,1:1还原了畸形脊柱的脊柱模型,制定了截骨矫形的手术方案。
整场手术足足进行了10个多小时,周治国团队避开脊柱周围的神经和血管,对可可畸形弯曲最严重且最突出的顶椎进行截骨、重整、固定。当手术进入尾声时,可可脊柱的侧弯度数从72度改善至30度,可像正常人一样生活。
术后第一次下地活动,可可双脚站稳的瞬间,她眼中的世界发生了变化。“哇,我第一次可以平视这个世界了!”可可开心地告诉父母,从前她身子扭着,总要费力仰头尽可能让头“正”,可即便是这样,她的世界始终是歪斜的。而现在,她的双肩基本平整,身形也和普通孩子无异。
看着女儿的蜕变,爸爸百感交集地说,正是这十年一步一个脚印的“扶苗”助长,才换来了今天女儿今天的站立。
2月2日,可可跟着爸妈前来武汉儿童医院复诊,看着孩子挺直了脊梁,脸上挂着笑容,周治国也长舒了一口气。他坦言其实这十年自己也承受着巨大的压力,如今终于交了一份令大家都满意的“答卷”。
关注孩子体态变化的“预警信号”
“先天性脊柱畸形在胎儿期很难通过产检完全发现。”周治国表示,胎儿在宫内呈蜷缩状态,且处于活动状态,细微的脊柱畸形是很难通过产检发现的。但是家长也无需过度焦虑,早期干预愈后效果好。武汉儿童医院骨科脊柱侧弯亚专科有着雄厚的专业实力和丰富的临床经验,每年约帮助50余名严重脊柱畸形的孩子“扶直”脊柱。
武汉儿童医院骨科主任医师张平提醒,脊柱侧弯在幼年期常有“提示信号”——比如双肩不等高,背部不对称,站立时身体偏向一侧等等。家长在日常生活中、洗澡过程中多观察孩子的体态,如果发现孩子存在脊柱侧弯的“异常信号”,建议及时就诊。