湖北日报讯(记者余瑾毅、通讯员裴霓裳)武汉一男子近一年来视力下滑,却未重视,直到被确诊为视网膜劈裂。
今年41岁的吴先生(化姓)是一名双眼近视2000度的超高度近视患者,近一年他总感觉视力在悄然下降。近期,他左眼视力严重受影响,连正常工作和生活都受干扰,这才重视起来,前往湖北爱尔眼科医院特需门诊,向邢怡桥求诊。
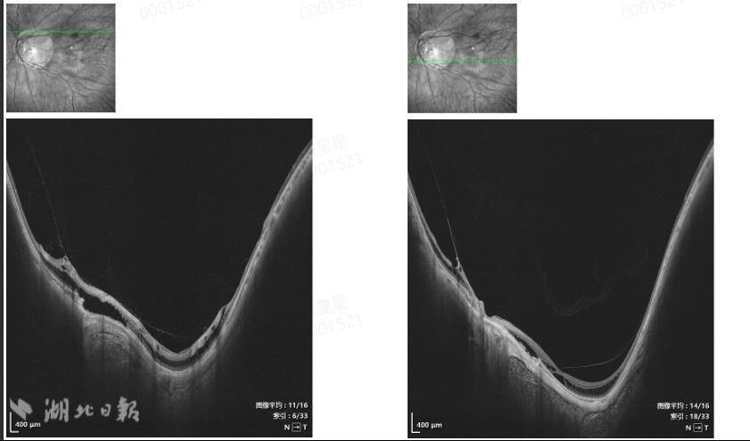
经查,吴先生右眼裸眼视力0.02,戴镜矫正视力为0.5;左眼裸眼视力0.02,戴镜矫正视力却只有0.1。扫频OCT检查进一步显示,他的右眼黄斑部神经上皮层内有低反射暗腔,呈桥样连接;左眼黄斑部网膜表面可见中高反射光带,与网膜呈牵拉状,神经上皮层内及层下见低反射暗腔,部分呈桥样连接。进一步检查确认,吴先生是因高度近视引起的双眼视网膜劈裂症,其左眼病情更为严重,需要手术治疗,而其右眼因为高度近视周边有变性区,需要择期进行预防性激光治疗,以避免进一步进展为视网膜裂孔或视网膜脱落等严重并发症。

患者眼部检查结果。
“视网膜劈裂是什么?”得知检查结果后,吴先生满是诧异。“这是高度近视常见的眼底并发症,因眼轴过度拉长导致视网膜变薄,进而引发视网膜神经上皮层的层间分离。核心处理原则是定期观察、控制进展,必要时通过医疗手段干预以防止视力进一步损伤。”邢怡桥解释,吴先生的左眼病情已累及黄斑,必须通过手术切除玻璃体,剥出劈裂区内界膜,才能恢复黄斑正常形态,阻止视力进一步下降,右眼则需择期进行激光治疗。
上周,邢怡桥为吴先生成功实施了左眼后入路玻璃体切割术,11月28日,吴先生病情稳定,正在逐步恢复。
湖北爱尔眼科医院眼底病专科邱姣提醒,视网膜劈裂早期可能无明显症状,部分患者会出现视力下降、视野缺损或闪光感等症状。由于高度近视患者的视网膜本身就较为脆弱,劈裂可能会逐渐进展,甚至诱发视网膜脱离。
她建议,高度近视患者有必要每3-6个月进行散瞳眼底检查,通过OCT(光学相干断层扫描)精准评估劈裂范围与厚度变化;日常尽量避免蹦极、跳水、过山车、拳击等具有高速冲击性运动;持续用眼40分钟以上,应休息5-10分钟,阅读时保持30厘米以上的距离,黑暗环境中尽量不使用电子设备。