极目新闻记者 刘迅
通讯员 熊婉婷
鱼刺卡喉屡见不鲜,不少人试图通过吞饭、咽菜把鱼刺“压下去”。近日,武汉一女子不慎吞下鱼刺后咽饭团,结果胃壁被戳穿,导致胃穿孔。华中科技大学同济医学院附属协和医院胰腺外科专家通过腹腔镜,找到了“罪魁祸首”,并将鱼刺取出,解除危机。目前,该患者已顺利出院。
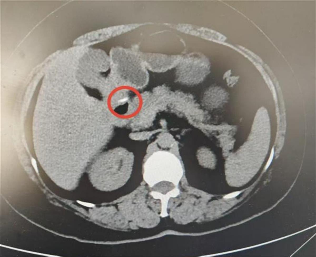
一个月前,60岁的王女士(化名)在吃饭时不慎误吞了鱼刺,她连吞了几口饭,试图将卡住的鱼刺咽下去,直到喉咙没有异物感。一周后,她突然出现剧烈腹痛、发热等症状,于是来到协和医院就诊。经腹部CT检查发现,有一根刺状条形异物穿透了胃后壁,部分位于壁外,显然是出现了胃穿孔。如果不及时取出,可能会穿透胃后方的胰腺,引发内出血、胰液性腹膜炎等严重并发症。

腹部CT显示刺状条形异物穿透胃后壁
为了减少患者手术创伤,医护团队计划先通过胃镜取出异物,但消化内科医生在内镜下探查时发现,鱼刺被胃黏膜分泌出的炎性物质包裹,只能看到条状的隆起,内镜下无法取出。
“胰腺位置较深,位于胃后方,周围还有十二指肠包绕,一旦鱼刺穿孔较深,在胃镜下就很难找到,处理起来也更加复杂。”该院胰腺外科殷涛教授解释。经综合评估患者的情况,并与家属进行充分沟通,他决定采用腹腔镜下微创手术取出鱼刺。

医生取出的鱼刺
经过充分的术前准备,殷涛教授在腹腔镜下仔细分离患者胃后壁和胰腺之间的炎性粘连,在鱼刺穿孔的部位,发现了一个直径3厘米的炎性包块,包块中心明显可见长约3厘米的骨刺样异物,周围还有少量脓液,这便是引起患者腹痛和发热的元凶。随后,他将鱼刺顺利取出,仔细缝合穿孔的胃壁。术后,患者的腹痛感消失,经过短期的治疗,目前已顺利出院。
殷涛教授提醒,鱼刺一旦进入腹腔,往往刺伤并藏匿于周围脏器,引起严重的损伤且很难搜寻,误吞鱼刺时最好不要盲目采取喝醋、吞咽饭团等“土方法”,如有不适要尽快就医,以免延误治疗。