极目新闻记者 周萍英
特约通讯员 白菲斐
通讯员 沈斌 赵妍玉珠
9岁男孩牙齿烂了个洞,吃东西不舒服,妈妈王女士便当起了“修理工”,网购材料为他DIY补牙。结果,男孩的牙齿没补好,反而半个脸都肿了起来。8月2日,在湖北襄阳市中西医结合医院口腔科,王女士提起此事仍后悔不已。“专业的事情,还是要交给专业的人来做,孩子也不至于受这样的苦。”

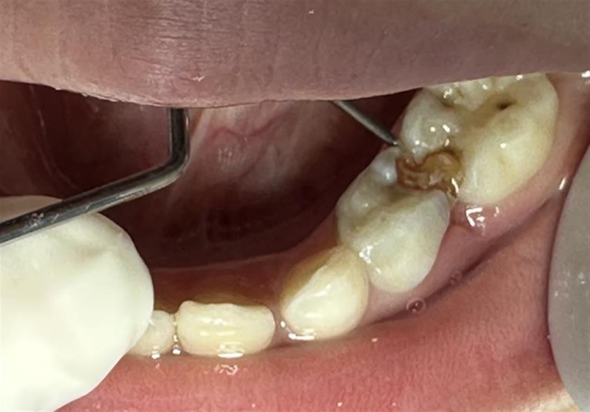
自行修补的牙齿(通讯员供图)
一周前,团团(化名)吃东西时,总是感觉有食物嵌塞在牙缝里。他的妈妈王女士检查发现,团团口腔左下侧两颗牙齿中间出现了绿豆大的一个洞。怎么把这个洞补起来呢?王女士就拿起手机上网查起了资料。
“如何自己补牙”“DIY补牙的真实经历分享”等网上的帖子马上引起了王女士的注意。帖子中提到,在网上可以买到补牙的全套材料,并且自己补牙也不是太难。“如果自己能在家为孩子补牙,那就不用上医院了!”王女士兴奋地在网上选择了一家卖得最好的店铺,毫不犹豫地下了单。
收到包裹后,王女士按照说明书上的操作提示,将网购的材料烫软,再塞入团团的牙洞中,轻松就将团团的牙“补好了”。
没想到,第三天,团团就叫喊着牙齿痛,无法进食,半边脸也肿了起来。王女士本想把补牙材料掏出来,尝试了几次,都无法取出。无奈之下,王女士只好带着团团来到襄阳市中西医结合医院求助。
该院口腔科医生张雯接诊后,对团团的口腔状况进行了详细检查。医生发现,团团的牙齿正处于替牙期,烂洞的左下第一乳磨牙已严重松动,牙龈红肿。邻近的左下第二乳磨牙,则因补牙材料的连接,也出现晃动。
为了挽救团团的这两颗牙齿,张雯首先去除了塞牙缝的补牙材料,随后,分别对两颗牙齿进行了消炎治疗,并计划分阶段进行修补。
“补牙过程通常包括备洞、消毒、充填和抛光四个步骤,每一步都至关重要。”张雯介绍道,补牙并不是简单地找个材料把牙洞塞上就行,还要经过专业的治疗。“特别是备洞阶段,必须彻底清除病变组织,保护牙髓和健康牙齿组织,并建立良好的洞形以确保充填体的稳固和密合,而消毒和充填过程同样需要专业技术和设备支持,以确保治疗效果和患者安全。”
张雯提醒市民,牙齿出现问题,应及时到正规的医院或诊所进行治疗,切勿轻信网络上的DIY方法。自己买材料随意补牙,即使封住了表面的牙洞,也不能将牙齿内部的龋坏问题彻底清除,反而会使得牙齿问题越来越严重,继而可能损坏牙神经,出现疼痛等不适。张雯呼吁家长们要增强健康意识,为孩子选择正确的就医途径,确保口腔健康得到有效保障。