荆楚网(湖北日报网)讯(记者 毛易媛 通讯员 吕惠 宋蒙)4月16日,武汉亚洲心脏病医院鄢华院长带领心内科团队应用冠脉旋磨联合冲击波球囊技术,为一名冠脉严重狭窄伴弥漫性重度钙化的高龄患者,击碎心脏血管内的“拦路石”,植入支架,成功解除“心头”大患。据悉,本次手术采用的冠心病治疗新利器、新一代旋磨系统——ROTAPRO™旋磨介入治疗系统,是其获批上市后,在华中地区首次临床应用。

鄢华院长、熊岗主任带领心内科团队为周爹爹实施手术
血管钙化严重 频繁胸闷发作
家住汉阳的周爹爹今年69岁,3月23日下午,正在家看电视的他突然感觉胸口一阵憋闷,由于几分钟就好转了,他并未太在意。第二天夜里,胸闷不适再次袭来,且愈演愈烈,周爹爹一晚上辗转反侧难以入眠。3月25日早上,症状仍未缓解的他还出现恶心、呕吐的情况,家人见状赶紧将其送往就近的医院,被诊断为急性心肌梗死。
急诊冠脉造影检查显示,周爹爹的三根冠脉血管都发生了严重狭窄,导致心脏严重供血不足,紧急实施心脏支架手术恢复右冠状动脉供血,医生建议休养一段时间后再择期处理左边冠状动脉狭窄病变。出院后的周爹爹尽管一直在规律服药,但胸闷问题仍不时发作。
“本来还想再观望一段时间,现在看来不处理不行了。”4月15日,苦不堪言的他求诊武汉亚洲心脏病医院。进一步检查发现,周爹爹的左前降支严重狭窄伴弥漫性重度钙化,整个钙化病变节段血管丧失了动脉应有的弹性,犹如长出了一块块的“石头”,同时存在钙化结节情况,严重阻挡着血管里血液的正常流动。
联合介入治疗 打通“生命线”
“天不怕,地不怕,就怕血管有钙化!”血管重度钙化一直是介入治疗的难点,尤其是常规冠脉介入手术,有可能发生冠脉夹层、冠脉破裂、支架脱载等难以成功的风险。如何除掉生命通道的“拦路巨石”,成为摆在医生面前的一大挑战。针对这一难题,鄢华院长、心内科宋丹主任带领团队进行充分讨论,并对周爹爹病变血管的管腔形态、结构及钙化程度进行了缜密评估,最终决定在IABP(主动脉球囊反搏)辅助下采用冠脉旋磨联合冲击波球囊技术处理周爹爹的钙化病变。
“先通过冠脉旋磨术对钙化斑块进行修饰,将突出管腔的钙化结节磨平整,将内膜钙化磨薄,形成一个光滑的内腔通道。针对冠脉旋磨术力所不及的迂曲钙化病变或血管中膜钙化等,再使用冲击波球囊对较深的钙化斑块进行击碎解,从而改善血管顺应性。”鄢华院长表示,像周爹爹这样严重的血管钙化病变,通过冠脉旋磨术联合冲击波球囊的有机结合,能极大地提高钙化病变治疗成功率,进而达到理想的支架贴壁及展开效果。
4月16日晚上,鄢华院长、熊岗主任带领手术团队,在血管内超声的帮助下精准确认了周爹爹钙化病变的位置、大小和程度,首先通过高速旋转带有钻石颗粒的旋磨头,将病变处磨出了一条通道;随后通过振波球囊对深层钙化进行处理,充分地碎裂周爹爹血管内的“石头”, 将布满“拦路石”的钙化病变血管修复得“光滑如新”;最后在前降支血管植入支架,完成了血运重建,成功打通了“生命线”。术后的周爹爹恢复情况良好,已于4月19日康复出院。

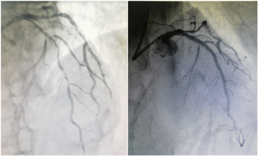
术前前降支血管严重狭窄(左) 术后管腔内无狭窄,恢复血流通畅(右)
钙化病变介入治疗再添新利器
冠脉旋磨术联合冲击波球囊治疗的是目前征服血管重度钙化病变的强强联合组合,不仅可以减少围手术期并发症,而且还极有可能改善患者远期获益。其中冠脉旋磨术是临床公认的血管重度钙化病变治疗的首选,而冲击波球囊技术则是更优化的钙化处理新技术。
为了给广大冠心病患者提供更高效、安全的治疗方法,武汉亚洲心脏病医院心内科团队不断探索,精益求精,开拓引领国内外新技术,继去年引入冲击波球囊技术后,又于近期引进冠脉旋磨术升级后的新一代旋磨系统——ROTAPRO™旋磨介入治疗系统,再添一把斩断病魔的利剑。据了解,本次手术是该器械获批上市后,在华中地区首次临床应用,周爹爹也成为医院首位ROTAPRO™旋磨介入治疗的受益者。
“过去,冠脉旋磨术因手术操作相对复杂、对术者要求较高,一直难以在临床广泛普及。”鄢华院长称,ROTAPRO™旋磨介入治疗系统在原有设备的基础上,简化了冠脉旋磨术的步骤,告别了以往“手脚并用”的复杂操作,大大提高了手术效率,为医生的学习和掌握提供了条件,未来随着这项前沿技术在广大基层地区进一步普及,钙化病变的处理将迈向更高效、更便捷的时代,惠及更多患者。