极目新闻记者 伊蔚 王晨曦
视频剪辑 王晨曦
通讯员 史蕾 辛玥
年轻夫妇备孕多年总是失败,去多家医院检查双方均未发现异样,万般无奈之下前往武汉大学中南医院生殖医学中心问诊,最终发现问题出在女方身上——卵子透明带异常无法自然受精,女子接受了该中心第二代试管婴儿技术治疗,一次移植便成功,顺利诞下一名健康女婴。近日她去医院复查,状态良好,她表示正为二胎做准备。

夫妻备孕多年总是失败
刘女士(化姓)和丈夫今年33岁,家住武汉,已结婚8年,两人都是武汉某大学的教师,夫妻俩事业有成、工作稳定,但生活中却有个难题始终困扰着他们。2014年刘女士婚后开始备孕,她和丈夫都做了完善的孕前检查,包括查性激素,测基础体温,每月监测排卵期同房,然而她迟迟没有怀上。
备孕期间,夫妇二人尝试了中医调理、药物治疗等多种手段,甚至在某民营生殖医院做了多次人工授精,均以失败告终,家人的催促加上不明原因的不孕让这对夫妇几近崩溃。万般无奈的刘女士通过朋友推荐了解到武汉大学中南医院生殖医学中心,听说很多不孕的姐妹都在这里顺利怀上了宝宝。抱着试一试的心态,刘女士夫妇来到了中南医院生殖医学中心问诊,该科主任张铭接诊后,详细询问了夫妇的既往史,并耐心安抚双方,结合症状、体征及相关检查结果进行诊断,建议进行试管婴儿技术助孕,在与夫妻充分沟通并取得知情同意后,二位最终选择该方式接受治疗。

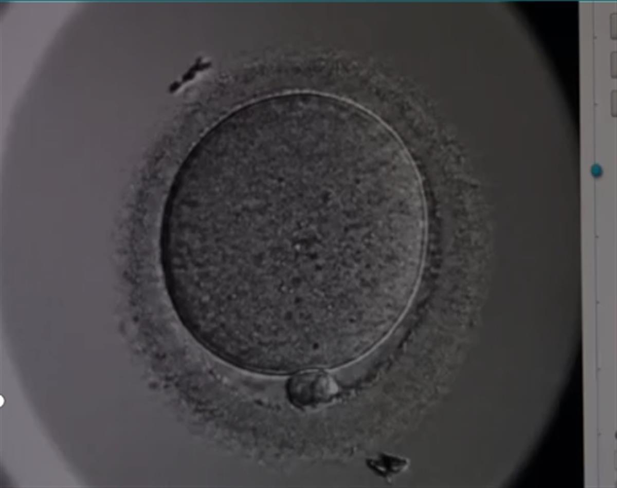
刘女士的异常“蜡样透明带”
在取卵当天,医生为刘女士顺利取到了7枚卵子,但发现刘女士卵子存在透明带异常。张铭介绍,卵子透明带是环绕在卵子外周的一个均质、光滑的“保护壳”,对于卵子的正常受精具有重要意义,而刘女士的卵子透明带呈毛刺样、凝胶状改变,是一种比较罕见的“蜡样透明带”,卵子也缺乏正常的极体和卵周隙,精子往往不能穿透这种透明带,以至于无法使卵子受精。原来这就是刘女士一直无法自然受孕的原因。

张铭观察胚胎发育情况
二代试管技术成功助孕
病因水落石出,医生们果断改用了第二代试管婴儿技术,小心翼翼地脱去卵周围的颗粒细胞以暴露卵子,筛选高质量的精子进行卵胞浆内单精子显微注射(ICSI)。7枚卵子全部正常受精,经过5天培育后,顺利获得了4枚优质囊胚,随后进行玻璃化冷冻保存。
刘女士调养好身体,开始接受胚胎移植手术,移植一击即中,又经过10个月漫长的等待,刘女士成功诞下3.3公斤的女婴,身体健康,各方面指标发育正常。“我的求子路走了很多年,前面绕了不少弯路,万幸来到中南医院生殖中心才解决了问题。这里的医护待我就像亲人一般,没有她们就没有我的宝宝,真的很感激!”2023年11月,刘女士带着宝宝到中南医院生殖医学中心复查,状态良好,向该中心全体医护再次表达了感谢,并表示自己还想要个二胎。

在中南医院生殖医学中心助孕下生产的健康宝宝
张铭指出,目前关于卵子透明带异常的发病机制尚不明确,可能受遗传因素、女性年龄、生活习惯、环境因素等多种因素影响,第二代试管婴儿技术是该患者的最佳治疗策略。她建议,患者若出现不明原因的不孕症,应积极到有资质的生殖医学中心就诊,不要自行尝试无科学依据的民间方法进行促孕。备孕期间夫妻双方要调整心态,避免焦虑、抑郁等不良情绪,应在医生的指导下选择正确方法积极试孕。

武汉大学生殖医学中心专家团队
据了解,武汉大学中南医院生殖医学中心致力于不孕不育症及生殖内分泌疾病的规范化综合性诊治,目前可以开展夫精人工授精(IUI)、常规体外受精-胚胎移植(IVF-ET,第一代试管婴儿)、卵胞浆内单精子显微注射(ICSI,第二代试管婴儿)、胚胎植入前遗传学检测(PGT,第三代试管婴儿)、胚胎/配子冷冻复苏及各类衍生技术,并开展卵子激活、极微量精子保存、薄型子宫内膜灌注等特色治疗。该中心在生殖遗传、精准医疗、生殖内分泌综合管理、生育力保存等领域打造了多学科共建的亚专业团队,旨在打通疾病诊治与健康管理的壁垒,为患者提供专家一对一的精细化、全流程服务,这种诊疗服务优势使得该中心试管婴儿助孕成功率高且稳定,累积妊娠率超过80%。
(图片由通讯员提供)