荆楚网(湖北日报网)讯(通讯员钟金鹏)7月6日晚,孝感市第一人民医院心血管内科成功为一名84岁高龄心梗患者置入心脏支架,经治疗,日前患者已康复出院。

心电图检查提示急性下壁心肌梗塞。通讯员供图
7月6日,84岁的熊婆婆感觉胸痛胸闷,且持续不能缓解,其实在此之前的3天就开始有间断的胸痛。一向身体硬朗的熊婆婆本以为忍一下就没事了,结果病情还是加重了,晚上还是不见好转,便前往当地卫生院就医,心电图检查提示急性下壁心肌梗塞。

术前造影提示右冠近段闭塞。通讯员供图
随后,经胸痛中心转诊至孝感市第一人民医院进行急诊冠脉造影检查,结果显示熊婆婆的心脏右冠状动脉发生闭塞。

术中从右冠中抽吸出的血栓。通讯员供图

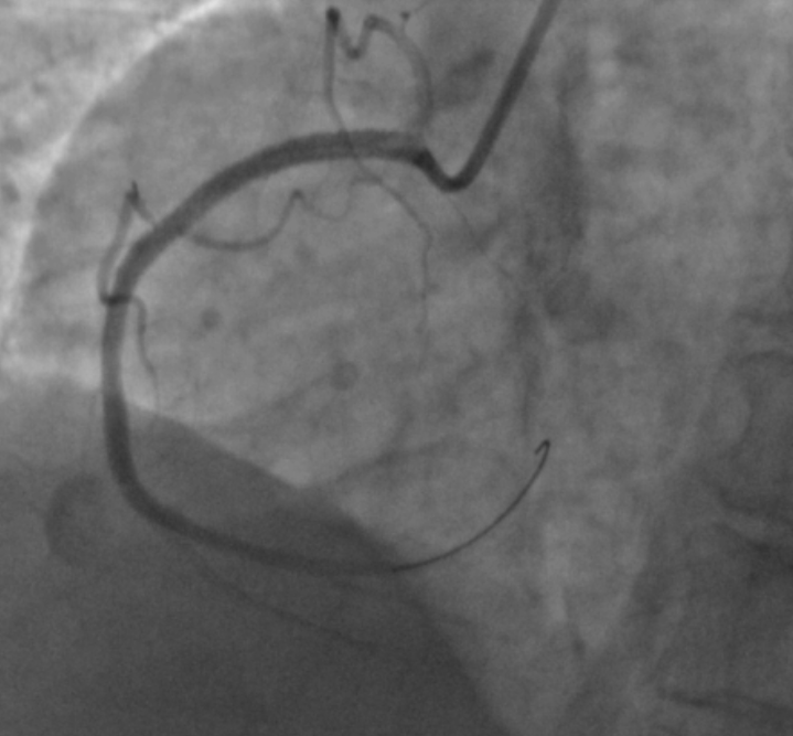
支架术后右冠血流通畅。通讯员供图
经检查,医生判断患者情况比较危急,需要紧急介入治疗开通血管,必要时还需要置入支架。家属和病人听闻后,有些犹豫不决,认为这么大年纪了,没必要做心脏支架手术。基于患者身体情况还不错,没有太多基础疾病,冠脉造影也仅是显示右冠闭塞,左侧冠脉狭窄并不重,进行支架手术,打通右冠,对患者有很大的帮助。经过医生详细解释和耐心沟通,病人和家属最终还是同意了支架手术,签字后不到10分钟就顺利开通了血管,并在堵塞的右冠状动脉内抽吸出一长条血栓,之后顺利置入了心脏支架。后经过规范治疗,患者恢复良好,目前已康复出院。
炎炎夏日,正值三伏天,高温酷暑,给心血管疾病患者带来了巨大考验。随着气温的升高,心梗发病率明显有上升趋势,近期孝感市第一人民医院心内科收治了多名急性心梗患者,其中不乏一些高龄患者。
那么高龄患者到底有没有必要安心脏支架呢?
其实需不需要做心脏支架手术,与年龄无直接关系,而是由患者身体基础情况、病情严重程度、冠脉病变特点等综合因素决定的。
有研究表明,与相对年轻的患者相比,大于90岁的稳定性心绞痛患者行冠脉介入治疗具有相同的临床结局;同样对于大于90岁的急性心梗患者行冠脉介入治疗后仍会有较好的临床预后。我们不同意支架就能解决所有心脏问题的想法,但起码通过支架手术可以解除冠脉狭窄,恢复冠脉血供,降低心梗风险,部分患者甚至能增加活动耐受量,提高生活质量。
所以,年龄并不是考虑是否做心脏支架手术的核心因素。
参考文献
【1】 Tokarek T, Siudak Z, Dziewierz A, Rakowski T, Krycińska R, Siwiec A, Dudek D. Clinical outcomes in nonagenarians undergoing a percutaneous coronary intervention: data from the ORPKI Polish National Registry 2014-2016. Coron Artery Dis. 2018 Nov;29(7):573-578.
【2】 Oh S, Jeong MH, Cho KH, Kim MC, Sim DS, Hong YJ, Kim JH, Ahn Y. Outcomes of Nonagenarians with Acute Myocardial Infarction with or without Coronary Intervention. J Clin Med. 2022 Mar 14;11(6):1593.