同济医院放射团队研发新技术 让患者“不吃”射线零造影剂完成血管成像检查

湖北日报 2023-02-03 18:08

湖北日报讯(记者龙华、通讯员田娟、齐剑东)“血管表现正常。”2月3日,听到医生对女儿的MR报告说出诊断意见时,曾为女儿患上血管炎而焦急的父母开心不已。

一年多前,14岁的菲儿突然发现腿上出现了一些红色且硬硬的斑块,不痛不痒。她清楚地记得自己没有受过外伤,想着可能会慢慢好转,也就没有放在心上。但9天后,斑块越来越多,而且变大。她这才告诉父母。一家人来到当地医院的皮肤科问诊,医生说怀疑孩子患上的是“血管炎”。

医生告诉他们,动脉血管是人体非常重要的通道,氧气和营养物质经动脉运送到全身的组织和器官。就如同嗓子发炎原理,动脉血管也会因受各种疾病侵犯,造成血管腔狭窄甚至闭塞,最后导致组织缺血缺氧,严重时还可造成多器官衰竭。

听了医生的推荐后,2021年10月15日,菲儿在父母的陪同下来到同济医院内分泌内科住院进一步诊断,经过系统的检查和评估,被确诊为系统性血管炎。

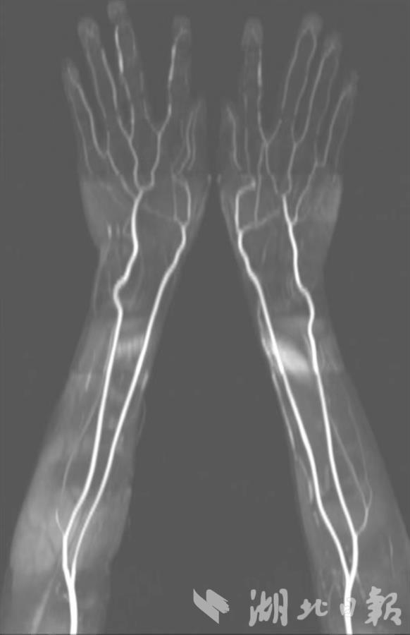
同济医院放射科副主任医师吴刚介绍,血管炎是一类血管被炎性细胞浸润的疾病,主要表现为血管壁的炎性改变与坏死,其发病机制复杂,表现多样且无特异性。利用直观的影像学检查早期监测全身血管有利于以血管炎为代表的全身血管受累的疾病的诊断和并发症的评估。但传统动脉造影检查使用的造影剂、X线对人体的影响,限制了全身血管大范围检查。

为此,吴刚团队多年来专注于磁共振新技术新序列的开发与改良。经过多年努力,他们研发出一种无需电离辐射、无需造影剂、可在短时间内反复多次扫描的磁共振动脉造影(MRA)技术,解决了全身血管诊断难题。目前,此技术已经成熟应用于临床。

在同济医院,菲儿一直按照医生的医嘱规范、周期性的用药治疗,并采用吴刚团队新造影技术每半年进行一次全身血管评估,病情得到有效控制。近日,最后一次复查后,医生告诉菲儿,可以停药,定期随访。

吴刚介绍,新技术不仅能获得患者胸部大动脉的优质影像,也能清晰显示双足、双手小动脉影像,还能用于显示肾功能不全患者的肾动脉、糖尿病血管病、动脉粥样硬化等。其动脉成像图像质量高,零射线,零造影剂,对身体危害小。他提醒,一旦发现皮肤红斑、口干、眼干等症状要警惕血管炎,需及时到正规医院找专科医生进行检查,以免延误治疗。