血 通讯员供图
极目新闻记者 曹洋
通讯员 王慧文
28岁的王女士(化名)是一位准妈妈,最近她右眼突然出现黑影,严重遮挡视线,没想到是眼底大片出血所致。为寻求治疗,王女士来到泰康同济(武汉)医院眼科,经过医生的激光治疗,积血成功散开,王女士视力慢慢恢复。

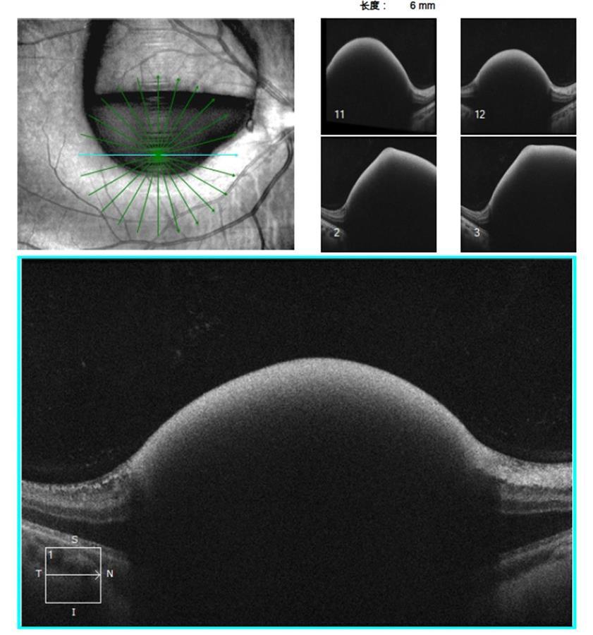
术前视网膜前出
该科眼科主任陈中山介绍,王女士妊娠反应大,剧烈呕吐时导致胸腔腹腔压力过大,头部血液回流受阻,以致于血管瞬间压力过大,眼底毛细血管破裂出血,可能导致视力急剧下降。
考虑到王女士是孕妇,用药、手术都有很大风险,陈中山最终确定了适合王女士的治疗方案,即通过激光治疗打开右眼内界膜,把积血引流到玻璃体腔,待出血消散吸收就可以恢复视力了。这种方式对孕妇及胎儿来说最为安全。在与王女士充分沟通后,陈主任为她进行了激光治疗,几分钟后积血散开,王女士的右眼视力恢复到0.6。三天后王女士来院复查,检查发现她的视力恢复到1.0,眼底积血绝大部分已吸收。
“这种情况并不常见,大家不用过于担心。”陈中山表示,对于准妈妈们来说,如果在孕期出现视力下降、视野变化等视觉异常情况,建议及时就医。