

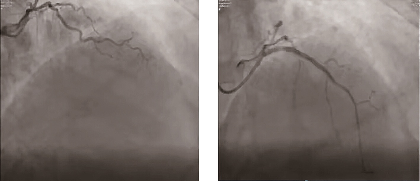
冠脉造影下术前术后对比 通讯员供图
楚天都市报极目新闻讯(记者晏雯 通讯员胡梦)“这阵子陪护婆婆太累了,稍微动一下,感觉胸口特别痛。”80岁的刘爹爹没有想到,陪护老伴儿住院时“多了一句嘴”,竟让自己捡回一条命。
日前,刘爹爹在湖北省中医院(湖北中医药大学附属医院)心内科陪护住院的妻子时总是胸痛胸闷,“以前干点体力活也会胸闷胸痛。是不是这阵子陪护婆婆太累了,痛得比以前厉害多了。”在医生查房时,刘爹爹向妻子的管床医生刘亮副主任医师随口说了一句。刘亮觉得刘爹爹症状十分可疑,在详细询问病史后,安排刘爹爹做了心电图。结合刘爹爹的症状和心电图检查结果,刘亮建议刘爹爹住院进行系统的检查治疗。
很快,刘亮团队为刘爹爹实施冠状动脉造影术,术中提示,刘爹爹左冠状动脉主干短,前降支开口至近段完全闭塞并严重钙化;回旋支中段动脉粥样硬化,狭窄约20%-30%;右冠中段动脉粥样硬化,狭窄约40%-50%。“左前降支是心脏血管中功能最强大的血管,而刘爹爹的这个血管近段已经完全闭塞,病情严重程度可想而知。”刘亮表示,刘爹爹是冠状动脉慢性完全闭塞病变(CTO病变),病情严重需要尽快手术。
刘亮介入团队讨论认为,对刘爹爹这么严重病情的患者,最好的治疗方案就是外科开胸搭桥,但考虑到高龄及外科搭桥手术的风险,刘爹爹和家属都不愿进行外科搭桥治疗,并要求做冠脉支架植入治疗(PCI)。由于刘爹爹冠脉严重狭窄,而且闭塞段有钙化,导丝常难以顺利通过病变。刘亮团队在延长导管及微导管加强支撑下经过反复尝试,最后将XT-R导丝顺利通过闭塞段微通道,植入支架3枚,打通了刘爹爹心脏的“生命线”。