长江日报大武汉客户端5月23日讯 “医生,实在是太感谢你们了!”近日,患者陈女士麻醉苏醒后的第一句话,就是激动地向医生们道谢。因宫内节育器盲目“乱跑”,困扰了陈女士8年的腹痛问题,在武汉市黄陂区人民医院得以解决。

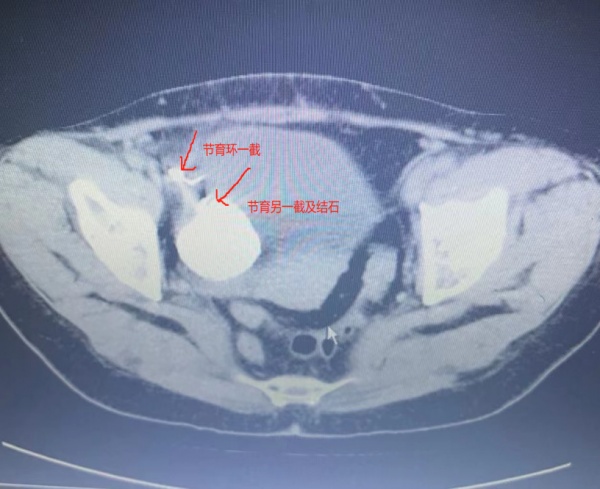
患者CT影像。
陈女士表示,她尿频尿痛伴下腹痛。8年来,辗转多家医院诊治而未果,这让她焦虑不已。接诊医生彭桂琼解释到,节育环明显不在子宫内,而是移位于其他地方。因此,妇科常规超声极容易漏诊。
就诊时,得知多年的病症可能与节育环移位有关,必须手术取出移位的节育环,陈女士如释重负,表示多年的痛苦终于找到了根源,当即办理了入院。

患者CT影像。
“普通的节育环移位不会伴随尿频尿痛症状多年,陈女士身上可能还存在其他没有发现的问题。”入院后,妇科主任刘海琳及副主任熊志芳第一时间安排陈女士做了腹部盆腔CT检查。检查结果提示:节育环的一端位于膀胱外,另一端位于膀胱内。棘手的是,膀胱内还存在4厘米的大结石与节育环融合。
鉴于陈女士的特殊情况,妇科请来了泌尿外科专家潘炜主任会诊。潘炜结合患者CT片检查结果,与熊志芳及麻醉科甘亚倩副主任协同制定了完备的手术及麻醉方案。

妇科、泌尿外科与麻醉科协同为患者进行取环手术。
术中,首先由泌尿外科专家潘炜及助手医生张文先行碎石。不同于普通碎石术,这场手术必须避免接触被结石包裹的金属节育环。如果致其断裂,可能给后续取环带来更大的困难。在两位医生的细致操作下,膀胱内巨大结石被完美取出,同时还保留了节育环的完整。
接下来,妇科熊志芳在腹腔镜微创帮助下松解膀胱外节育环另一端。在两科室的完美配合下,残留患者体内长达8年的节育环终于被完整取出。

从患者体内取出的节育环和碎石。
黄陂区人民医院妇科主任刘海琳提醒,广大育龄期妇女在放置宫内节育器后,应常规行超声检查以确定节育器位置,并且定期于术后1、3、6、12个月及此后每年进行妇科彩色超声检查。绝经后女性应尽快行节育器取出术,以免宫内节育器嵌顿。如有出血、疼痛等不适症状应及时就诊,检查确定节育器是否发生移位,以免造成身体损害。(长江日报记者刘越 通讯员刘志华 梅凡)