荆楚网(湖北日报网)讯(记者 林琳 通讯员 张晓衡)5个一连串主动脉瘤像糖葫芦一样,在患者老陈的肚子里安营扎寨。这些最大瘤体直径达10cm、危险万分的“不定时炸弹”,随时可能破裂导致大出血乃至夺取生命。武汉大学人民医院(湖北省人民医院)血管外科“拆弹团队”迎难而上,应用精巧的支架技术,巧妙“拆弹”成功。

CTA检查提示腹主动脉、髂动脉多发巨大动脉瘤。通讯员供图
65岁陈先生,最近发现自己的腹部莫名其妙鼓包,而且还会规律性搏动。CTA检查提示,他患上了巨大腹主动脉瘤。感受到生命受到威胁,陈先生慕名找到武汉大学人民医院血管外科邓宏平教授团队。
入院后邓宏平教授向陈先生及患者家属详细地分析了病情:陈先生腹主动脉下段、双侧髂总动脉及双侧髂内动脉均有巨大动脉瘤合并血栓形成,最大瘤体直径达10cm,可能随时动脉瘤破裂大出血,或者是因粥样斑块、血栓脱落导致远端肢体栓塞。而且动脉瘤瘤体排成了一串“不定时炸弹”。既要完全消除瘤体,又要完整保护器官功能,手术难度指数级增加。

患者双侧髂总动脉巨大动脉瘤。通讯员供图

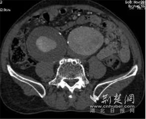
患者双侧巨大髂内动脉瘤、左侧髂动脉瘤体最大直径达110mm。通讯员供图
邓宏平介绍,由于陈先生主动脉瘤瘤颈扭曲严重、合并双侧巨大髂总动脉瘤、双侧巨大髂内动脉瘤,要根治此病,外科开放手术范围广、创伤大。常规微创手术技术复杂存在臀肌、肠道缺血坏死及生殖动脉、下肢动脉缺血风险。而腔内手术既要完全隔绝动脉瘤、又要保留至少一侧髂内动脉,需要周密的手术计划和娴熟的腔内手术技巧。

邓宏平教授团队为陈先生实施手术治疗。通讯员供图
经过充分的术前准备,邓宏平教授团队为陈先生进行了 “腹主动脉瘤及髂总动脉瘤腔内隔绝术+髂内动脉分支支架手术(IBD技术)“,经过4个小时手术,5个成串的巨大动脉瘤被完全隔绝无内漏,右侧髂内动脉供血得以完整保留,双下肢动脉血流通畅。
术后第二天陈先生既可自主下床活动, 复查CTA提示腹主动脉及髂动脉瘤体被覆膜支架成功隔绝,支架形态、位置正常,术后第6天康复出院。

术后CTA提示支架均按术前设计到位,动脉瘤完全隔绝,血流通畅无内漏,蓝色箭头所示为右侧髂内动脉完整保留。通讯员供图
邓宏平介绍,像陈先生这样的腹主动脉瘤患者并不少见,常常没有症状在体检中被发现。事实上据统计65岁以上老年人尤其是合并心脑血管疾病、高血压、肥胖及吸烟史的男性,腹主动脉瘤的发生率达到6%到8%,瘤体破裂后死亡率高达90%以上。腹主动脉瘤不是肿瘤,而是因动脉壁退化变性引起的动脉扩张性疾病,而非通常意义上的“肿瘤”,一旦破裂即刻引起大出血,短短几分钟患者失血可达数千毫升,迅速出现休克、死亡。腹主动脉瘤在未发生破裂时常常没有任何症状,因此早期筛查非常重要,对于65岁以上高危人群建议每年做一次腹主动脉超声筛查,尤其是腹部搏动性包块,要高度警惕腹主动脉瘤可能,必要时行腹主动脉CTA检查,尽早到血管外科就诊。
对于腹主动脉瘤的治疗,传统的开放手术方法是进行腹主动脉瘤切除和人工血管移植,将人工血管替换病变的腹主动脉,需要全身麻醉、阻断腹主动脉导致血液动力学变化,存在手术创伤大、术中出血量多、并发症发生率高、胃肠道恢复慢、住院时间长等缺点,这令许多患者望而却步,而选择保守治疗,往往患者会在几年内死亡。
武汉大学人民医院血管外科常规开展的主动脉瘤腔内修复术(EVAR)等各类微创手术方式,采用微创血管腔内技术,将覆膜支架从股动脉穿刺后(或切开后股动脉)送入瘤体处释放,可修复动脉瘤,将瘤体与血流压力隔绝。此方法具有创伤小、康复快、并发症少、死亡率低等特点,极大地造福了主动脉疾病患者。