
湖北日报讯(记者余瑾毅、通讯员孙丹妮、秦爱娇)俩孩子玩耍时,拿出“逗猫神器”激光笔相互照射,不料被灼伤眼睛,视力下降。眼科专家提醒,激光笔存在较大安全隐患,对人眼的伤害不可逆,家长不宜在家里放类似产品,更要劝诫孩子远离激光笔。
“妈妈,我看到眼前有一个固定黑色的点点,怎么用力赶都赶不走它。”上周末,武汉9岁的童童(化名)告诉妈妈吴女士,忙于工作的吴女士以为童童是为了吸引自己的注意,并没有放在心上。两天后,童童再次表示右眼有些看不清楚东西。吴女士误以为是孩子近视了,赶紧带童童前往汉阳爱尔眼科医院。
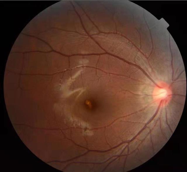
该院小儿眼病科医生检查发现,虽然童童的屈光状态正常,但眼底却出现了损伤的症状,建议童童前往眼底病科就诊。该院眼底病科主任胡庆华检查后发现,童童的右眼黄斑区被灼伤,出现了点片状高荧光病灶。胡庆华据经验判断,孩子极有可能是被强光灼伤导致。吴女士非常纳闷,自己对孩子的用眼管控十分严格,也没接触到强光,怎么会出现黄斑区灼伤呢?
在胡庆华和吴女士的耐心善诱下,童童终于回忆起,几天前,他和小伙伴在家里玩耍的时候,两人翻出了家里的“逗猫神器”激光笔。由于激光笔发出的光线是红色的,家里的猫咪被逗得上蹿下跳,小伙伴和童童觉得非常有趣,拿着激光笔在客厅相互照射追逐嬉戏,小伙伴无意中晃了一下童童的眼睛。当晚童童回家后,眼睛并没有明显的不适症状,第二天早晨起床后发现眼前总是有一个固定的黑点,随后开始出现右眼视力模糊。
所幸童童的眼睛只是被激光笔划过,时间短,强度小,右眼的眼部灼伤面积比较小,配合治疗后,对视力影响不大。胡庆华告诉记者,在门诊因激光笔误射眼睛导致患儿眼底病变的案例屡见不鲜,多为“意外”和“不小心”,主要原因是家长和孩子对激光笔的质量安全、使用方法等存在着认识盲区。
胡庆华说,激光造成眼损伤时,会出现视物变形、变小、颜色变淡等症状,若黄斑区被激光灼伤,患者视野就出现了一个完全的盲区,眼前始终都有一个暗影,严重者可能会导致视力下降。