长江网5月25日讯(记者武叶 通讯员陈彦西)每走一步都疼痛难忍,原来是“小石子”卡进膝关节。5月25日,61岁的王女士在关节镜微创手术后成功摆脱拐杖,康复出院。
2016年,王女士突然发现右膝关节肿胀的厉害,走上几百米膝盖就隐隐作痛,里面像是有小石子卡住了,硌的生疼。后来,她腿脚越来越不利索,只得借助拐杖行走。到医院检查后,王女士被诊断为右膝关节退行性病变,右膝关节腔见多发游离体,需手术摘除治疗,但由于患者心脏冠脉堵塞接近80%,且伴有“三高”等多种疾病,常规腰麻风险较大,最终放弃了手术治疗。

拄拐行走近4年后,王女士右膝关节已肿胀僵硬,完全无法屈伸,就连睡觉时也只得侧身蜷缩在床上缓解疼痛,严重影响了正常生活。由于害怕手术,今年4月,她来到武汉市中医医院寻求中医治疗。
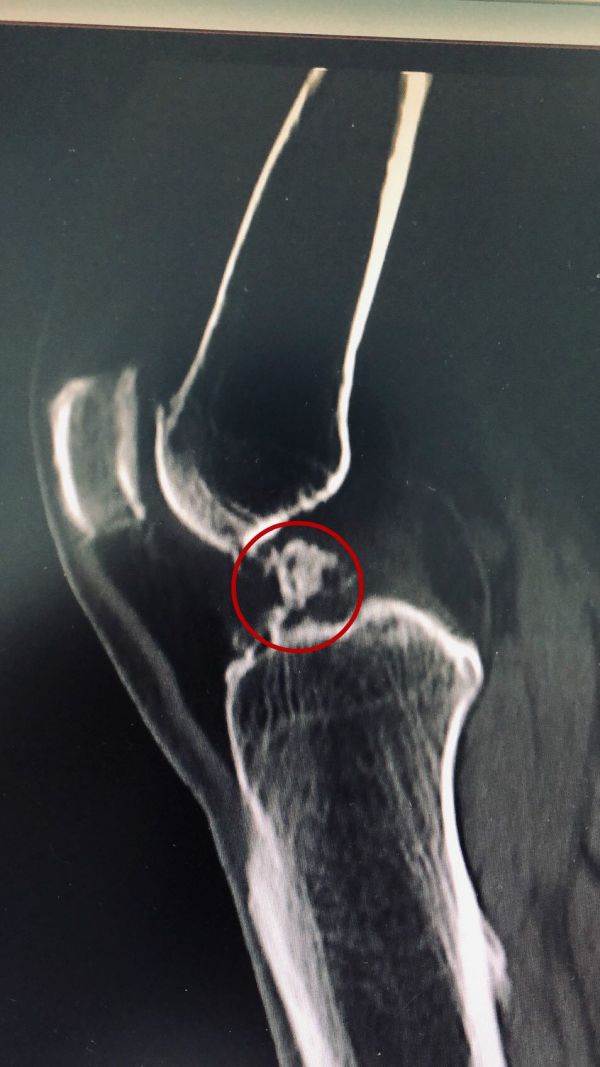
经过一段时间的住院治疗,王女士膝关节疼痛得到缓解,但由于“小石子”仍紧紧卡压在股骨髁间窝,根本问题并没有解决。针对王女士的情况,骨伤二科医师团队经过反复研究评估,制定周密的手术康复计划,决定在局麻状态下为王女士进行手术治疗,取出游离体。
骨伤二科主治医师覃剑、梅凌为王女士详细讲解手术过程,消除患者的心理恐惧。一周前,王女士接受了局麻微创关节镜手术治疗,医生通过几个小孔,从患者膝关节腔取出2个蚕豆大小游离体。术后,患者迅速恢复,5月25日康复出院。
覃剑解释,膝关节游离体是指关节有退行病变或损伤时,从关节内的组织上脱落下来的组织碎片。这些组织碎片就像一个个“小石子”在关节腔内窜来窜去,造成膝盖疼痛、卡压,时间长了,还会对关节软骨造成磨损。覃剑说,当出现关节活动受限时,应及时就医,积极治疗,避免造成不必要的损伤。